Valgus deformity of the first toe most often affects women of mature age, but it also affects men.A deformed base of the thumb does not look aesthetically pleasing.In this case, the person experiences physical discomfort and, in the advanced stage, pain.Deviation of the big toe is the result of an uneven body load on the foot.Such changes have a detrimental effect on the feet and other toes.
Causes of curvature

Hallux valgus does not occur for no apparent reason.This pathology appears and develops under the influence of a number of reasons.Hallux valgus more often affects people genetically predisposed to this disease.Doctors note the following causes of deformity of 1 finger:
- Excess body weight.
- Endocrine diseases.
- Osteoporosis.
- Flat feet.
- Diabetes mellitus.
- Psoriasis.
- Arthritis.
- Hormonal changes during pregnancy and old age.
- Wear tight shoes.
- The specificity of the profession, forcing a person to endure increased physical activity on the legs every day.
Phases and varieties
Doctors consider 3 stages of disease progression:
- Subtle valgus deviation.Redness of the skin and small abrasions appear.Discomfort when walking.
- A growth is already clearly visible on the thumb.Swelling and pain are observed.
- This form of the disease is considered advanced.A person is bothered by constant, unbearable pain in the big toe and the entire foot and the appearance of keratinized skin.The pain does not go away even during sleep.
The development of the unpleasant hallux valgus is influenced by many factors.Experts have identified the following types of finger deformities as a separate category:
- Cross deformity.The curvature occurs in different directions.Fingers crossed.
- Curvature of the joints to such an extent that they are always in a bent position.In the first stage of development of the pathology, the fingers can be forced to straighten with the help of the hands.If treatment is not started at this time, the fingers will become so stiff that it will no longer be possible to straighten them with your hands.Now it is impossible to do without surgery.
- Taylor's deformity.Pathology affecting the little fingers.Characterized by the appearance of a growth on the bones.
- Curvature of the phalanges, similar to hooks.

Experts include dancers at risk of developing hallux valgus.Dancing on your toes increases stress on your toes, which leads to their curvature.Incorrect gait can also cause unwanted results.The provoking factors are also aggravated by age.
Diagnostic methods
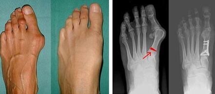
If the visual examination and x-rays give no results, the patient is referred for plantography to determine any flat feet.This method involves taking impressions of the feet, on the basis of which shoes or insoles with orthopedic properties are made for the patient.The patient is then prescribed podometry.This method uses computer analysis to determine the pressure of a person's weight on their feet.The results of advanced diagnostics form the basis for choosing a treatment method for the curvature of the first and second fingers.
The disadvantage of radiographic examination is the need to irradiate the patient's legs, which many patients do not like.They think this is too harmful a method.In this regard, effective treatment of hallux valgus cannot be started without the results of plantography.

This is the best informative diagnostic method.With its help, the doctor determines not only the presence of flat feet, but also the condition of the arches of the feet.Computerized examination is the most effective way to detect flat feet.
In the first stage of identifying valgus of the big toe and little toe, the doctor carries out a visual examination.In this way it determines the stage of development of the pathology.To identify detailed changes in the joints, x-rays and plantography are prescribed.
Drug therapy
It is better to start gentle treatment of the foot, as well as the big toe, before the final stage of development of the pathology occurs.Experts know how to treat this pathology, but they do not know how to cure the advanced form of the disease without surgery.First, doctors determine the cause of the curvature of the fingers, as well as the presence of complicating factors.As is known, the task of drug therapy includes symptomatic therapy.This means that pain, inflammation and swelling are eliminated.
Most often, patients are prescribed non-steroidal anti-inflammatory drugs.In addition to their main function, they reduce pain and fever.When complications occur, hormonal corticosteroids are often prescribed.If the deformation of the fingers is caused by diseases of the internal organs, the joints can be corrected after the underlying pathology has been cured.In this case endocrinologists are involved in the problem together with other highly specialized specialists.Many people try to cure themselves with folk remedies, forgetting that this is possible only in the initial stage of the development of the pathology.
If the pathology is noticed at the initial stage, the crooked thumb is straightened with the help of devices - plastic or silicone pads with orthopedic properties.During treatment it is necessary to wear soft, roomy shoes.To straighten crooked toes, orthopedic insoles, insoles and other correctors are used.Deformed fingers are repaired with special splints, rings, caps and combs.With the help of such devices, the fingers are fixed in the correct position.Thanks to orthopedic fixators, the development of further deformations of the fingers stops.
There are two ways to treat bunions.The first is a painless correction of the deformity that does not require surgery and rehabilitation, the second is treatment by surgery.
Surgical methods of treatment

Complete cure of hallux valgus is possible only with the help of the surgeon's scalpel.Sometimes just one operation is enough and the patient forgets the problem forever.The doctor performs the surgery taking into account the type of hallux valgus deformity.The most common types of operations are:
- Exostectomy.Only a certain portion of the metatarsal bone is removed.
- Resection arthroplasty.The end part of the metatarsal bone is removed.
- Osteotomy.It is used to remove the metatarsal bone and a small element of the phalanx.
- Resection.The operation aims to remove the affected soft tissue and then transplant healthy tissue in its place.
- Arthrodesis.Provides forced immobility of the joints.
- Distal osteotomy.The operation involves reducing the angle between the joints.
- Removal of the inflamed bag of the big toe.
- Installation of systems.
The rehabilitation period after surgery can last up to seven weeks.Special preventive measures are usually taken during these weeks.First of all, these are therapeutic exercises that promote:
- improvement of health status;
- reduce pain when walking;
- increase the tone of the leg muscles;
- installation and fixing of the deformed joint in its natural position.
The length of the rehabilitation period very often depends on the complexity of the operation.To speed up recovery, you should start moving your fingers the next day.After a week the patient can already stand up and, taking precautions, move slowly.The main thing is to avoid prolonged stress.
After the operation you will need high-quality soft and roomy shoes.It is purchased on the advice of a doctor.By the way, if you start doing therapeutic exercises at the beginning of the development of hallux valgus, you can do not only without surgery, but also without wasting money on various devices, ointments and drugs.
Experts say that the option of surgical treatment gives practically one hundred percent positive results.This gentle treatment method requires no anesthesia and does not cause stress or psychological distress.However, painless treatment methods are not able to save a person from the last stage of the disease.
Preventive measures

Preventive measures are quite simple: wear comfortable shoes with a wide toe, the inside of which does not put pressure on the toes.Joints in particular and feet in general are able to withstand the weight accumulated during human growth without causing damage.Therefore, it is very important to monitor body weight to avoid obesity.
One of the effective preventive exercises is as follows: a person, sitting in a chair with his feet on the floor, moves them using his fingers.
The next exercise involves walking barefoot on the floor, alternating on the balls of your feet and heels.
Simple gymnastics is quickly mastered, which gives rise to more complex physical exercises.You will then be able to perform actions such as picking up a pencil or any other object from the floor.
It is better to prevent thumb deformation than to queue in medical institutions to receive advice from the doctor on choosing an effective treatment.
























